어깨 석회화 원인 및 예방 방법
- 건강
- 2021. 3. 12. 22:40
어느 날 갑자기 어깨에 심한 통증이 느껴져 병원을 방문하게 되는데, 병원에서 어깨에 돌이 생겼다고 진단받는 경우가 있습니다.
돌은 콩팥이나 요로, 담낭에 생긴다는 얘기는 흔하게 들어봤지만 어깨에도 돌이 생기는 것에 대해 금시초문인 분들이 많습니다.
석회성 건염이란 어깨 힘줄에 칼슘이 쌓이게 되면서 돌(석회)이 형성되는 질환을 말합니다.
어깨에 무리가 가는 운동이나 활동을 할 경우 서서히 통증이 생기지만 석회성 건염은 갑작스럽게 발생하며, 극심한 통증이 발생하여 응급실을 찾는 경우도 있습니다.

어깨에 석회가 생기는 증상은 주로 30~50대에 흔하게 나타나는데 특히 40대 이후 중년층에서 발병률이 높으며 남성보다는 여성에게 더 많이 발생합니다.
또한 기저질환으로 당뇨가 있을 경우 더 잦게 발생한다고 하니 참고바랍니다.
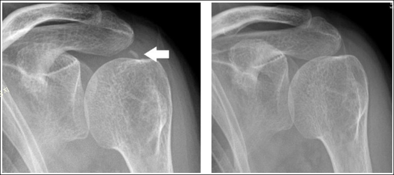
병원에서 어깨 석회화가 의심될 경우 엑스레이 촬영을 통해 확인이 가능하며, 형성 단계에 있는 미세한 크기의 석회는 초음파나 MRI 촬영을 통해 확인할 수 있습니다.
※ 석회성 건염은 급성으로 발생하는 경우가 많으며, 극심한 통증이 나타나는 것이 특징입니다.

석회성 건염이 나타나는 단계는 아래와 같습니다.
#1 석회화 전 단계
아직 석회화가 발생하기 전의 단계로 특별히 드러나는 증상이 없습니다.
#2 석회화 단계
칼슘이 세포에서 분비된 후에 침전이 진행됩니다. 갑자기 통증이 동반되며 통증 강도가 가장 극심한 시기입니다.
#3 석회화 후 단계
석회화건염이 호전되는 단계로 칼슘 침착물이 사라지고 회전근개 힘줄이 재생되는 단계입니다.
어깨 석회화 원인
어깨는 신체 관절 중에서 유일하게 360도가 돌아가는 부위로 비교적 이른 나이에 노화가 발생하게 됩니다. 어깨를 움직여주는 회전근계 힘줄에 매우 많은 운동량이 가해지기 때문입니다.
힘줄이 노화가 진행되면 힘줄 세포 내부에 칼슘이 쌓이게 되는데, 이 과정이 반복될 경우 육안으로도 확인이 될 정도의 돌이 힘줄 내부에 형성됩니다.
이렇게 심줄에 형성된 석회(돌)가 점점 커지면서 힘줄 내부를 팽창시키며 압력을 높이게 되는데, 이때 극심한 통증이 발생합니다.

※ 어깨 관절을 움직이게 하는 회전근개 힘줄이 퇴행성 노화로 인해 힘줄 내부에 돌이 생겨, 갑작스럽게 통증과 염증이 생기는 질환을 석회화(석회성) 건염이라 합니다.
한편으로는 어깨 석회화에 대한 근본 원인은 명확하게 밝혀지지 않았다고 보기도 합니다.
만약 노화에 따른 퇴행성이 주요 요인이라면 80세 이상에서 석회성 건염이 잘 관촬되지 않는 것이 설명되지 않기 때문입니다.
따라서 석회화가 생기는 것이 어깨 회전근개 내의 국소적인 혈류 장애가 주요 요인이라고 보는 견해도 있습니다.
종합적인 상황을 고려할 때 가장 의심되는 요인은 아래와 같습니다.
- 어깨를 과다하게 사용하면서 힘줄 손상
- 힘줄이 손상되어 혈액순환이 제대로 되지 않아 석회침착
- 노화에 따라 퇴행성 변화로 힘줄이 쇠약해짐
- 직업상 어깨와 팔을 많이 사용
70대 이후에는 석회성 건염 환자가 줄어드는 것은 노화가 진행되어도 활동량이 적어지기 때문에 어깨를 사용하는 빈도 역시 줄어들기 때문입니다.
어깨 석회화 예방 방법
석회화 증상이 나타나는 주요 요인을 차단하거나 줄이는 것만으로도 예방하는데 도움을 받을 수 있습니다.
먼저 어깨를 무리하게 사용하는 것을 자제해야 하며 혈액순환이 원활하게 되도록 틈틈이 스트레칭을 해주는 것이 좋습니다.

어깨 석회화가 발생하는 석회성 건염은 기본적으로 염증에 해당합니다. 술과 담배는 염증을 악화시키는 요인이기 때문에 금주 및 금연을 권장합니다.
특히 흡연의 경우 체내에 산소 포화도를 떨어뜨리면서 혈액 순환을 방해하기 때문에 금연을 추천합니다.
평소 어깨에 무리가 가지 않는 활동에도 어깨에 통증이 느껴진다면 정형외과를 방문하여 전문의에게 상담을 받아볼 것을 권장합니다.
어깨 석회화 건염을 초기에 발견할 수 있으며, 각종 어깨 질환을 예방하고 빠르게 치료를 할 수 있습니다.
같이 보면 도움되는 글들..
2021.02.05 - [톡톡/생활정보] - 어깨통증 운동요법 (병원 추천 방법)
어깨통증 운동요법 (병원 추천 방법)
관절 중에서 어깨는 360도 모든 방향으로 회전을 할 수 있는 유일한 관절입니다. 일상생활에서 본인도 모르게 하루에도 어깨를 300번 이상 회전하고 있을 정도로 많이 사용하기 때문에 관절 중에
wikwoo.tistory.com
2020.12.11 - [건강] - 혈액순환 장애 증상 (방치하면 위험)
혈액순환 장애 증상 (방치하면 위험)
사람의 몸은 머리에서 발끝까지 크고 작은 혈관으로 연결되어 있으며, 이 혈관은 건강을 잇는 통로의 역할을 하고 있습니다. 혈관의 길이는 대략 12만km로 지금 4만키로인 지구를 3바퀴나 돌 수
wikwoo.tistory.com




