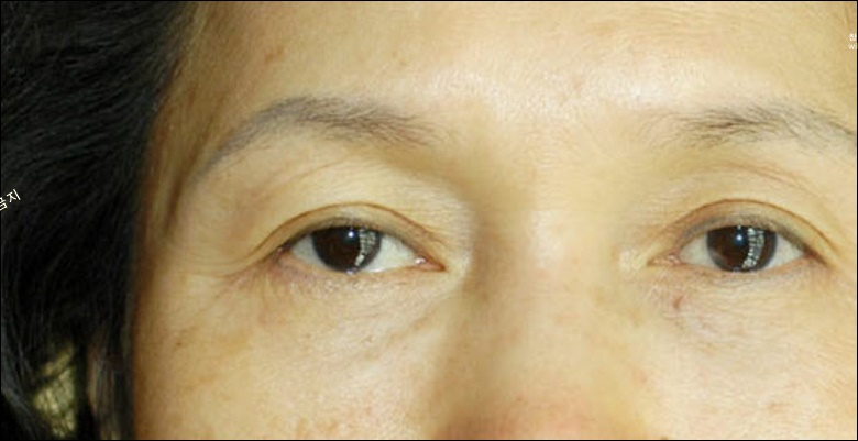
눈썹 거상술 후 모습
- 건강
- 2021. 6. 29. 09:39
우리나라 성형 부위 중에서 눈과 관련된 수술 및 시술은 1위를 차지할 정도로 인기가 많습니다.
쌍꺼풀 수술은 이미 오래전부터 대중화되었으며 눈매 교정술, 트임 성형, 눈밑 성형부터 눈썹 거상술까지 다양합니다.
그중에서 눈썹 거상술은 나이가 들면서 노화로 인해 늘어나고 처지는 눈꺼풀을 개선하여 답답해 보이는 눈매를 개선하는 수술입니다.
눈썹 부위를 절개하여 눈썹을 위로 올리면서 눈꺼풀의 처짐을 동시에 개선하기 때문에 눈이 또렷해 보이는 눈매로 변화할 수 있습니다.

눈썹거상술은 미용 목적으로 하는 경우도 있지만 처진 눈썹으로 일상생활이 불편한 사람들이 선택할 수 있으며, 주로 아래와 같은 상황일 때 좋은 효과를 볼 수 있습니다.
- 눈꺼풀이 처지면서 시야가 가리는 경우
- 속눈썹이 눈을 찔러 충혈되는 경우
- 눈꺼풀이 처지면서 눈이 답답하고 피곤해 보이는 경우
- 쌍꺼풀 없이 처진 피부를 개선하고 싶은 경우
- 쌍커풀이 피부 처짐으로 인하여 보이지 않는 경우
- 눈썹이 비대칭인 경우
- 쌍꺼풀은 그대로 유지하면서 개선을 원할 때
눈썹거상술 수술 특징
눈과 눈썹 사이에 따라 수술 방식에 차이가 있습니다.
#1 눈과 눈썹 사이가 좋은 경우

#2 눈과 눈썹 사이가 넓은 경우

눈썹거상술 수술 시간은 대략 1시간 내외이며 수면마취 또는 국소마취 후 진행합니다. 당일 퇴원하여 실밥은 일주일 후에 제거합니다.
따라서 눈썹거상술 회복기간은 5일에서 일주일 정도가 소요됩니다.
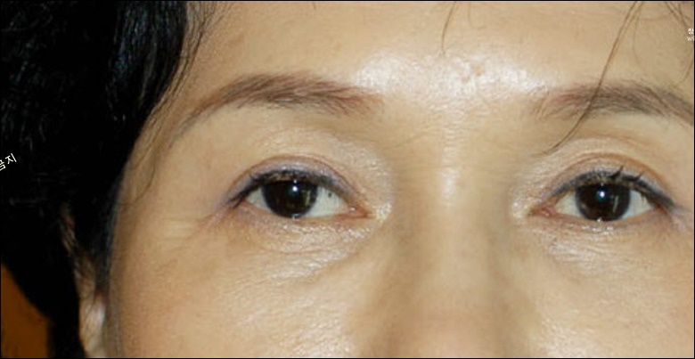
눈썹거상술 후 모습
#전

#후

#전

#후

#전

#후

#전

#후

눈썹거상술 전후 후기 사진을 보면 대체적으로 쳐진 눈꺼풀이 눈을 가려 답답해 보이는 분들에게 효과가 있습니다.
눈꺼풀이 처지는 것은 노화에 따라 나타나기도 하지만 20대, 30대 젊은 층 역시 선천적으로 눈꺼풀이 처져있거나 약간의 안검하수를 갖고 있는 분들에게도 이마 눈썹거상술은 좋은 선택이 될 수 있습니다.
눈껍거상술의 지속기관 및 유지기간은 최대 10년입니다.
눈 성형과 관련하여 유익한 글들..
2021.06.27 - [건강] - 눈매 교정술 후기 사진
눈매 교정술 후기 사진
눈매교정술이란 눈을 뜨는 근육의 힘이 약해 눈을 가리거나 졸린 눈을 보다 선명하게 보이도록 만들어 주는 수술입니다. 두껍게 쌍꺼풀 라인을 만들어 성형 티가 나는 기존의 쌍꺼풀 수술과 다
wikwoo.tistory.com
2021.06.16 - [건강] - 눈가 주름 없애는 법 (대표 2가지)
눈가주름 없애는법 (대표 2가지)
사람은 누구나 나이가 들면서 피부에도 노화가 진행됩니다. 이에 따라 피부의 탄력이 줄어들고 주름은 깊어지게 됩니다. 신체 부위 중에서는 얼굴의 피부가 노화와 외부 요인에 따라 가장 빠르
wikwoo.tistory.com




