잇몸 튼튼하게 하는법
- 톡톡/생활정보
- 2021. 1. 27. 00:28
구강건강을 챙길 때 보통 충치가 생기지 않는 것에 초점을 맞추지만 건강한 치아를 유지하기 위해서는 치아의 뿌리를 지탱하고 있는 잇몸을 잘 관리해야 합니다.
치아가 아무리 튼튼해도 잇몸이 약하면 치아의 뿌리를 제대로 지지하지 못해 결국 흔들리고 빠지기 때문입니다.
우리나라에서 잇몸질환은 감기 다음으로 흔하게 겪는 질병이지만 대다수가 소홀이 여기는 것이 사실입니다. (실제로 성인 인구의 70%가 잇몸병을 가지고 있다고 합니다.)
잇몸질환이 있으면 양치를 할 때 피가 나면서 통증을 동반하거나 구취(입냄새)를 동반하게 됩니다. 또한 차거나 뜨거운 음식을 먹게 될 때 이가 시리는 느낌이 발생하는 것이 특징입니다.

따라서 이번 시간에는 본인의 잇몸 상태를 점검하면서 잇몸이 튼튼하게 하는 방법을 알아보고자 합니다.
잇몸 건강이 안 좋은 경우 보통 아래의 증상이 나타납니다.
- 양치질을 할 때 잇몸에서 출혈이 발생
- 잇몸이 부어오름
- 치아에 치석이 많이 끼어 있음
- 잇몸에 염증 발생
- 치아에 플라그가 많이 발생
- 치은염 발생
- 치아의 뿌리가 노출되는 잇몸퇴축 증상 발생
- 치아가 몰려 있음
잇몸 질환은 단계별로 증상이 악화되는데, 초기 단계부터 방치할 경우 아래와 같은 증상들이 발생합니다.




잇몸 튼튼하게 하는법
치아가 건강하기 위해서는 튼튼한 잇몸을 가지고 있어야 합니다. 보통 잇몸병은 입속의 세균인 플라그가 잇몸을 공격하면서부터 발생합니다.
입속은 세균이 번식하기 좋은 환경을 가지고 있는데 플라그가 치아와 잇몸 주면에 끈끈한 막을 형성해서 치아의 뿌리를 감싸고 있는 잇몸에 염증을 퍼뜨리게 됩니다.
이를 방치하면 잇몸 바깥에 있는 플라그가 잇몸 안쪽까지 파고 들어가면서 잇몸 뼈까지 망가지게 되는 것입니다.
즉 입에서 상주하고 있는 세균은 충지와 풍치(잇몸병)의 주 원인이라 볼 수 있습니다.
#1 양치질 잘하기
입에 있는 세균 자체를 없애는 것은 사실상 불가능하기 때문에 세균이 치아 표면에 붙어있는 것을 방지하기 위해 이를 잘 닦는 것이 최고의 방법입니다.



하지만 아무리 양치질을 잘 해도 칫솔모가 잘 가지 않는 사각지대가 발생하게 됩니다. 이 사각지대가 3개월 이상 경과되면 세균이 딱딱하게 굳으면서 '치석'이 됩니다.
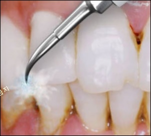
#2 치석 제거하기
세균이 쌓여 치석이 되면 칫솔로 잘 닦여지지 않기 때문에 치과에 방문하여 스케일링(치석제거)을 해야 깨끗하게 제거할 수 있습니다.



잇몸을 튼튼하기 위해 아무리 약물을 먹어도 효과가 없는 이유는 결국 치아 표면에 붙어있는 치석을 악물로는 제거할 수 없기 때문입니다.
그렇다고 약물치료가 전혀 도움이 안되는 것은 아닙니다. 치석 제거는 어려워도 약물 복용을 통해 잇몸의 염증을 줄이는 효과는 가질 수 있기 때문입니다.
※ 스케일링 주기
세균이 잇몸에서 플라그로 쌓이는 주기는 3개월입니다. 따라서 3개월에 한 번 스케일링을 받으면서 관리를 하는 것이 좋습니다.
분기에 한 번 받는 것은 사실 쉬운 것이 아니라서 치과에서는 1년에 최소 2회의 스케일링을 권장하고 있는 경우가 많습니다.
참고로 만 19세 이상 부터는 1년에 1회에 한해서 건강보험이 적용되어 부담 없는 가격으로 스케일링을 받을 수 있습니다. 따라서 치과가 부담스럽더라도 최소한 1년에 한 번은 치석제거를 하는 것이 좋습니다.
건강보험을 적용받는 스케일링의 경우 본인 부담금은 1만 원대 정도의 비용이 발생합니다.
그밖에 치과에서 받는 잇몸치료
플라그가 잇몸 깊숙이 자리 잡았거나 일반적인 염증치료를 통해 질환의 근원을 제거하기 어려운 경우 아래와 같은 잇몸치료를 진행합니다.
#1 잇몸 소파술
잇몸 깊숙한 곳까지 자리 잡은 '치석, 치태, 염증조직'을 기구를 삽입하여 치아의 표면까지 깨끗하게 해 주는 시술입니다. 스케일링 대비 통증이 심하기 때문에 필요하다면 마취를 할 수 있습니다.
#2 잇몸 수술
치석제거나 잇몸 소파술로도 잇몸 질환의 근본 원인을 제거하기 힘들 경우 잇몸 수술을 진행하게 됩니다. 잇몸 수술은 잇몸을 절개하여 육아조직과 골 결손 부위를 제거하여 잇몸 염증의 원인을 제거하는 시술입니다.




